医院动态
最新公告
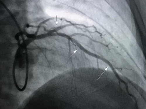
我院首例冠状动脉造影检查显示左右冠状动脉均有狭窄,最重处达到90%,成功放置三枚支架,效果佳。



第一张图示三处狭窄,第二张图示支架术后狭窄解除。血运通畅,病人及家属非常感激。我院引进的德国西门子DSA先进高端、手术射线量统 计 了一下,只相当于做一次头颅CT。我院收费合理,同样手术要比其他医院优惠2万多元。为前来就医的患者提供质优价平的真诚服务。同时减少病人往返徐州的麻烦及花销。我院全体职工本着“病人好,我才好”的服务理念,励精图治,满腔热忱的为人民群众提供优质的医疗服务。
版权所有:徐州利国医院 技术支持:金桥网络
联系地址:徐州北郊利国镇商业街东端
乘坐路线: 可乘88路至利国镇石门站下车向东600米即到
24小时预约咨询电话:办公室:0516-69099568 医务处:0516-69099560 行风办:张主任15852204140